What is a crown?

A crown is a laboratory fabricated custom made tooth that precisely fits over a broken natural
tooth to hold it together and return it to normal function and appearance.  Up until recently,  crowns were
made out of gold or porcelain, or a combination of a gold understructure which is completely covered by
tooth colored porcelain to match your other teeth.  

Now in most cases our office uses new metal free crowns made of either dilithium silicate, or zirconia.
These crowns are extremely life-like in appearance and function and are very strong.

Zirconia and dilithium silicate (Bruxzir and E-max) crowns are often so natural in appearance that it is
difficult to tell them from your own teeth.  These crowns also require less drilling as more healthy tooth is
preserved.

What will I experience during my crown appointment?

A topical anesthetic (numbing cream) is rubbed on your gum with a Q-tip.  Then, an injection of
local anesthetic is given into the numbed area.  If you are extremely nervous about your crown,
nitrous oxide (laughing gas) can be given, but is rarely needed.
After you are numb, 1 to 1.5mm, about 1/20 inch of enamel is removed around the tooth.  
An impression is taken of the prepared tooth and sent to the laboratory.  A temporary tooth is
then placed over your prepared tooth. One to two weeks later your new crown is bonded in
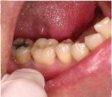
place.  A typical crown procedure on a back tooth is showed below.







Fractured tooth needing a crown       Prepared tooth                         crown on model
                                                                                                                                      
                                                               .


What is a bridge?

A bridge is a replacement for missing natural teeth.  A false tooth or pontic, is connected to two or
more crowns, and is cemented in your mouth replacing the missing tooth.  With the high success rate and
comfort of implants, less missing teeth are being replaced with bridges and more with
implants.

See our
Galleries for many examples of crowns and bridges and implants.
Crowns and Bridges
New crown in mouth
E-mail us at
info@freedmandental.com
East Northport Dental Care
Mark H Freedman, DDS
General, Family, Implant and Cosmetic Dentistry
1023 Pulaski Road
East Northport, NY  11731
631-261-2880
Home
Home