Tooth Colored Fillings

Less drilling is required with white fillings as the fillings are chemically attached to the teeth..

Amalgam fillings also leak the gray color from the silver and mercury into the tooth staining                 
it a dark gray over time.




Probably the greatest problem with silver-mercury amalgams is that they cause teeth to crack.  
Mercury expands and contracts greatly with temperature changes.  The rigid tooth does not.  Over a
period of time, most teeth with large amalgam fillings will crack, and require crowns.  
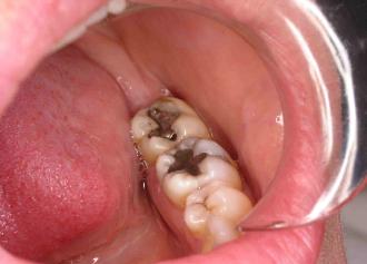
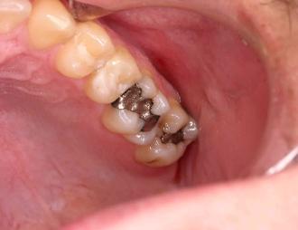
The patient below has 2 defective, decayed amalgam fillings.  We removed the decayed amalgams
and placed white bonded composite fillings.  

Click on the pictures below to enlarge.















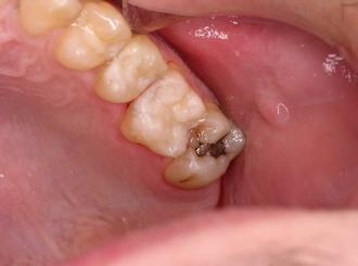
This patient has a similar problem, a decayed amalgam filling on the upper left.  The old filling was
replaced with white bonded filling.  The back tooth will most likely need a new filling as well.
E-mail us at
info@freedmandental.com
East Northport Dental Care
Mark H Freedman, DDS
General, Family, Implant and Cosmetic Dentistry
1023 Pulaski Road
East Northport, NY  11731
631-261-2880
Home