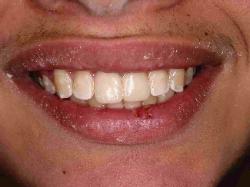
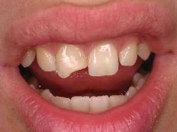
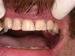
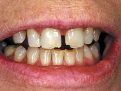
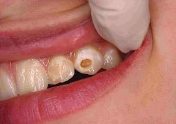
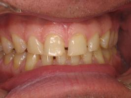
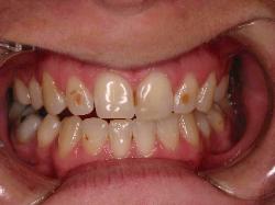
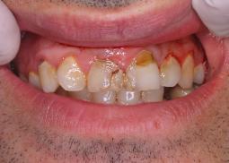
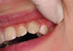
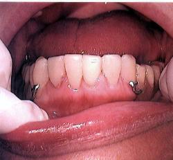
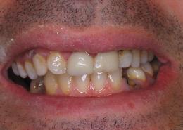
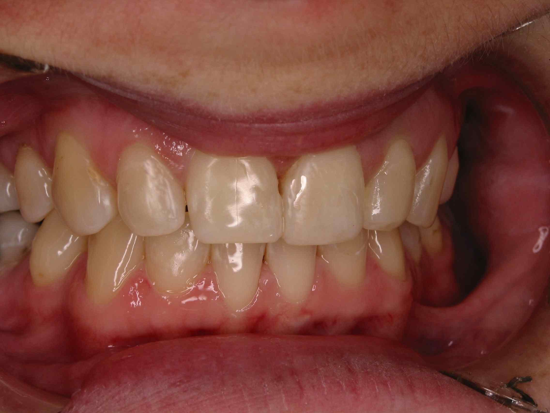
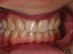
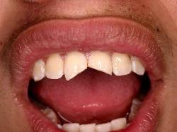
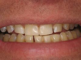
In the hands of a skillful, artistic dentist bonding is fun, as it is painless,
non-invasive, and can provide remarkable results quickly.  Some examples
of typical bonding situations follow.                              

Before                                                    After
E-mail us at
info@freedmandental.com
BONDING
Home
Home
Home