Gallery10.html
Photo Gallery
Before and After Pictures
(page 10)
Pre-op
Patient's new smile
Temporary
Finished Crowns  
Patients often ask how they will look
with temporaries during treatment.  We
do our best to make temporaries that
not only protect the teeth and look
natural, but also serve as a preview of
our final restoration.  
We use our temporaries to determine
whether our final crowns should be
longer, shorter, lighter, darker for the
best final result that we can achieve.
From a cosmetic perspective, one of the most
difficult procedures is to replace a single broken
front tooth with a crown.  Color, size shape and
subtle characterization of the crown have to
match the other teeth to functionally and
cosmetically recreate a natural looking tooth.
Before
Completed crown
Completed crown
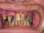
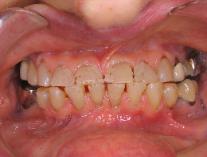
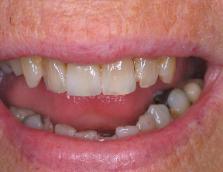
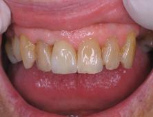
New patients will often come to our office feeling very embarassed, saying things like,
"You've never seen anything this bad before".  Well, we have.  This patient's mouth
was restored with a combination of crowns, bonding, partial denture and bleaching.  
Eating is much easier, and he has a very nice smile.
Click to enlarge
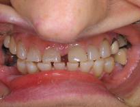
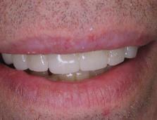
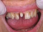
Sometimes very conservative treatment can give a patient what she wants, and result in nice cosmetic
improvement. This patient simply wanted her front teeth to look whiter, straighter and without large
spaces, but did not want crowns or laminates.  Her teeth were whitened, lengthened and rebonded.
Before
whitened with Zoom
E-mail us at
info@freedmandental.com
East Northport Dental Care
Mark H Freedman, DDS
General, Family, Implant and Cosmetic Dentistry
1023 Pulaski Road
East Northport, NY  11731
631-261-2880
Crowns and a conventional bridge restored this patient' top teeth. To
replacements whenever possible.
Home
Gallery Page  1  2  3  4  5  6  7  8  9    10   11  12    next
Home
Gallery Page  1  2  3  4  5  6  7  8  9    10   11  12    next