Photo Gallery     
Before and After Pictures
(page 2)
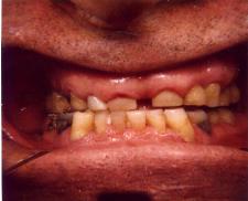
Very short teeth, with a large space in front, and too prominent gums were some of the
challenges this case presented.  Gum surgery to remove the over-grown gums and lengthen the
teeth was the first step.  Twelve porcelain crowns were then placed to give this patient a very
natural looking smile.  
Before
After
After
click to enlarge
click to enlarge
click to enlarge
Two porcelain crowns and two porcelain laminates were used on this patient's four
front teeth.  The space has been closed, and the size, shape and color improved to
match her own natural teeth.  She looks great and has a healthy mouth.
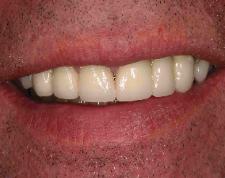
A porcelain bridge and crowns were placed on this patients front teeth.  His top back teeth
and bottom front teeth were replaced with teeth connected to his last teeth so the attachment
clasps cannot be seen.  He has a great smile.
click to enlarge
click to enlarge
click to enlarge
This patient was congenitally missing several teeth in both the front and back.  Porcelain laminates
were used to lengthen, lighten and reshape her front 3 teeth.  Porcelain bridges matching her front
laminates replaced her old bridges.  All 14 of her top teeth were restored resulting in a wonderful
improvement, and very attractive smile.
After
After
click to enlarge
click to enlarge
click to enlarge
click to enlarge
click to enlarge
An important characteristic of an attractive smile occurs when the edges of the upper teeth
follow the shape of the lower lip.  This patient's four front teeth were broken and decayed.  
Four porcelain crowns gave her a healthy, attractive smile following this esthetic principle.
E-mail us at
info@freedmandental.com
East Northport Dental Care
Mark H Freedman, DDS
General, Family, Implant and Cosmetic Dentistry
1023 Pulaski Road
East Northport, NY  11731
631-261-2880
Home
Home
Home
Gallery Page  1  2  3  4  5  6  7  8  9    10   11  12    next
Gallery Page  1  2  3  4  5  6  7  8  9    10   11  12    next