Photo Gallery
Before and After Pictures
(page 8)
This young lady was congenitally
missing her lateral incisors.  Two
implants with two very natural
appearing crowns were completed
right before she left for college.
Crowns on the front two teeth allowed us to visually reposition these teeth and close the
large space between them.  New crowns and bridges on her remaining top teeth complete
her restoration and give her a really attractive smile.
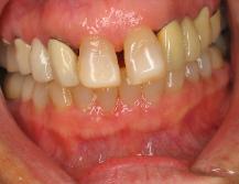
This patient was missing her right top teeth and was
using a removable partial denture to replace them.
Three implants were used to replace five teeth.  She has
a beautiful natural smile, and can eat again comfortably.
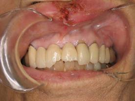
An immediate full denture was made to replace this lady's top teeth.  An immediate denture allows us to
provide the patient with same day teeth.  The dentures are fabricated in advance, and are given to the
patient as soon as her diseased teeth are extracted.   Her bottom teeth were restored with porcelain crowns
and a porcelain bridge.  Her lower back teeth will be replaced with either implants or a partial denture.
This patient fell breaking her front two teeth off a bridge consisting of ten teeth joined together.  
While often having to redo the entire bridge with an injury of this nature, in this case we were
able to fabricate new crowns that fit over her broken teeth and save her old bridge.
E-mail us at
info@freedmandental.com
East Northport Dental Care
Mark H Freedman, DDS
General, Family, Implant and Cosmetic Dentistry
1023 Pulaski Road
East Northport, NY  11731
631-261-2880
Home
Home
Gallery Page  1  2  3  4  5  6  7  8  9    10   11  12    next
Home
Gallery Page  1  2  3  4  5  6  7  8  9    10   11  12    next