Photo Gallery
Before and After Pictures
(page 4)
Modern cosmetic dentistry, not only restored this patient's teeth, but completely changed the shape of his face giving him
a younger more pleasing facial shape. We filled out his upper lip, and increased the distance from his chin to his nose
with properly sized teeth.

These 2 photos show the patient's                                                         These 2 photos show a front view
before and after profile                                                                         of the patient with his new teeth.



















This patient is Dr. Freedman's mother. She needed crowns on her 2 top canine teeth, a new crown on her right lateral,
and a crown on her left bicuspid.  
Her front 2 teeth had crowns that were over 20 years old.  6 crowns and 1 laminate were fabricated.
We lengthened and lightened her 7 new teeth giving her a much younger, very attractive smile.  This patient also
bleached her lower teeth to match her crowns.










Before                                                                  After                                                       after




.                                                 
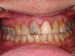
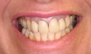
This patient wanted to replace her old crowns with more natural looking  teeth.   Six crowns and  one
laminate veneer were used to give her a great life-like smile.











                                                     
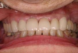
Six all porcelain crowns were used to restore this patient's top front teeth.  


Before                                                                            After
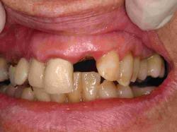
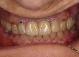
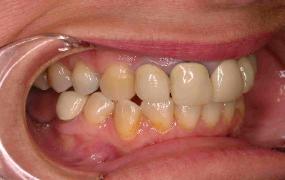
A broken off front tooth required rapid treatment in this patient.  The broken tooth was extracted, and a temporary bridge was
made the same day.  In addition to the permanent bridge replacing her missing tooth, Crowns were needed on most of her
remaining top teeth, giving her a very nice smile.
E-mail us at
info@freedmandental.com
East Northport Dental Care
Mark H Freedman, DDS
General, Family, Implant and Cosmetic Dentistry
1023 Pulaski Road
East Northport, NY  11731
631-261-2880
Home
Home
Home
Gallery Page  1  2  3  4  5  6  7  8  9    10   11  12    next