Photo Gallery
Before and After Pictures
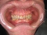
Crowns made of some of the new ceramic materials, in this case
dilithium silicate, provide both strength and excellent esthetics.   
Gallery Page  1   2   3   4   5   6   7   8   9   10    next
E-mail us at
info@freedmandental.com
East Northport Dental Care
Mark H Freedman, DDS
General, Family, Implant and Cosmetic Dentistry
1023 Pulaski Road
East Northport, NY  11731
631-261-2880
Home
Home
While upper dentures usually fit fairly well because
of the large area they cover on the palate, lowers
are often very loose due to the thin ridge they sit on.

Two implants placed in the lower jaw allow us to
snap the lower denture into the implants for a much
more stable and satisfactory fit.

We restored this patient with a full denture for his
top teeth and a lower denture held in by two
implants.
New modern bonding materials allow us to repair a broken front tooth in less than an hour.   While
matching the size, shape and color to look as natural as possible is often a challenge, most restoration are
relatively indistinguishable from the original tooth.
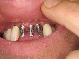
This patient had three implants to replace three missing teeth.  Implants are the most natural and
strongest method of replacing missing teeth.  
This patient had three implants to replace three missing teeth.  Implants are the most natural and
strongest method of replacing missing teeth.  
Six e-max crowns on top and four on the bottom give a
very natural appearance.
Gallery Page  1  2  3  4  5  6  7  8  9    10   11  12    next
Home
Gallery Page  1  2  3  4  5  6  7  8  9    10   11  12    next